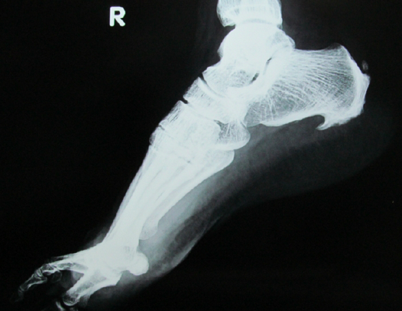
Una de las principales causas del dolor del talón de los pacientes de Clínica Grimalt Llinàs es el Espolón Calcáneo, una patología asociada en un 80% con la Fascitis Plantar
Producido por una acumulación de calcio y el crecimiento de un hueso del talón en forma triangular, el espolón calcáneo provoca un dolor agudo en los pacientes. Sus primeros síntomas se originan en la parte interna del talón eincrementa en situaciones donde el pie tiene un funcionamiento más intenso y, por lo tanto, una sobrecarga originada, en muchas ocasiones, por el aumento de la tensión en la fascia plantar.
Maria de Lluc, directora de la Clínica Grimalt Llinàs destaca que hay características comunes en los pacientes que acuden a la consulta por dicha patología. Estas características suelen ser los factores principales en propiciar la aparición del talón calcáneo. Los pies cavos o valgos son uno de los rasgos comunes en los pacientes, ya que en ambos se produce una disminución del apoyo en la zona lateral externa. Junto a ello, también existe una alta relación con el sobrepeso de los pacientes y la aparición de dicha patología.
Un alto porcentaje de los pacientes que acuden a la clínica son deportistas. Los cuales realizan la actividad física con un calzado inadecuado y en superficies muy duras. Además, la pisada de los pacientes tiene una alta importancia, ya que suele ser la causa principal para la aparición de una fascitis plantar y, en consecuencia, derivar en espolón calcáneo. Cabe destacar que el espolón es la continuación natural de una fascitis que se ha mantenido en el tiempo. Es por este motivo que los expertos de Clínica Grimalt Llinàs recomiendan realizar un estudio biomecánico de la pisada en un centro cualificado para ello. Los expertos podrán detectar el origen principal del espolón. En los casos más comunes, la pisada es el principal causante. Por lo tanto, será recomendable la realización de unas plantillas personalizadas para destensar la fascia plantar.
Sin embargo, lo más importante es diagnosticar el problema lo antes posible, ya que su curación puede tener una larga duración en el tiempo en el caso que no se detecte a tiempo. En la fase más aguda los expertos recomiendan acudir a un especialista para desinflamar la zona y disminuir el dolor en la pisada. Una vez superada esta etapa, acudir a un podólogo para detectar el origen del problema y, por último, cuando el problema se ha solucionado, adoptar hábitos correctos durante la actividad física.
Fuente Comunicae


