La hipertensión arterial en Euskadi afecta a más de 37% de la población adulta mayor de 18 años
Uno de cada cuatro pacientes bajo tratamiento farmacológico no consigue mantener la presión arterial en niveles normales considerados saludables.
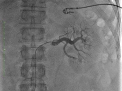
La denervación renal es una técnica mínimamente invasiva indicada para pacientes que no consiguen mantener su presión arterial en los niveles correctos pese a estar en tratamiento farmacológico.
Vídeo
La hipertensión arterial es el principal factor de riesgo cardiovascular a nivel mundial. Según el último estudio del Departamento de Salud del Gobierno Vasco, publicado en 2023, la hipertensión arterial sigue siendo un problema de salud importante en Euskadi, afectando al 37,3% de la población adulta mayor de 18 años. La prevalencia de la hipertensión es mayor en hombres (41,2%) que en mujeres (33,7%) y aumenta con la edad, alcanzando el 52,2% en el grupo de 65 a más años.
La presión arterial alta, como factor de riesgo cardiovascular, está directamente relacionada con enfermedades como accidentes cerebrovasculares e infartos de miocardio. Por ello, es fundamental controlar la presión arterial regularmente, seguir el tratamiento farmacológico pautado por el especialista y adoptar un estilo de vida saludable que incluya una dieta equilibrada, ejercicio físico regular y evitar el consumo de tabaco y alcohol.
Cuando todas estas medidas no son efectivas y la tensión arterial no está controlada, algo que sucede en uno de cada cuatro pacientes bajo tratamiento farmacológico (27%)1, está indicado llevar a cabo la denervación renal: "Se trata de una alternativa terapéutica que mediante radiofrecuencia permite reducir el impacto y la producción neurohormonal de una serie de elementos que provocan la hipertensión", explica el doctor José Ramón Rumoroso, jefe de servicio de Cardiología Intervencionista del Hospital Quirónsalud Bizkaia. Este proceso logra un descenso de la tensión arterial que permanece en el tiempo frente a la limitada efectividad de los fármacos y el alto porcentaje de incumplimiento terapéutico en pacientes crónicos.
El procedimiento, según explica el doctor Rumoroso, se caracteriza por su seguridad, es mínimamente invasivo y se realiza de forma percutánea mediante el sistema Symplicity™ de Medtronic. "Introducimos un catéter por la arteria femoral y lo dirigimos hasta las arterias renales. Una vez posicionado, se aplica radiofrecuencia, generando energía térmica que neutraliza las terminaciones nerviosas simpáticas de la zona", aclara el especialista. "Los pacientes pueden regresar a casa el mismo día del procedimiento y reincorporarse a su vida diaria habitual", señala el doctor Rumoroso.
Según el especialista en cardiología intervencionista, las ventajas de esta opción innovadora son diversas: "Las mejoras son inmediatas, más allá de mejorar el control de la presión arterial 24h, este sistema favorece la monitorización ambulatoria de la hipertensión, al disminuir significativamente el tratamiento farmacológico (1), contribuyendo a facilitar la labor del equipo médico y mejorando la calidad de vida de los pacientes y sus allegados".
- Referencia: 1. Menéndez E, Delgado E, Fernández-Vega F, et al. Prevalence, Diagnosis, Treatment, and Control of Hypertension in Spain. Results of the [email protected] Study. Revista española de cardiologia (English ed). 2016;69(6):572-578. doi:10.1016/j.rec.2015.11.034.
Fuente Comunicae


