La responsable de la Clínica Grimalt Llinàs explica que es una deformidad del primer radio
El Hallux Flexus empieza ser una patología sufrida por muchos de los habitantes de España. Según los expertos de Clínica Grimalt Llinàs, dicha patología se caracteriza en primer lugar por una inflamación en el dedo del pie, además de un dolor intenso.
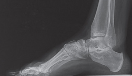
Maria de Lluc, responsable de Clínica Grimalt Llinàs, explica que es una deformidad del primer radio, una plantarflexión de la falange proximal que provoca dolores intensos a la hora de realizar una actividad física o al caminar.
Además, la patología Hallux Flexus, a parte de ser una deformidad, provoca un desequilibrio en el balance muscular. Dependiendo de la gravedad, suelen aparecer Hiperqueratosis o dolores intensos mientras el pie está en reposo.
Uno de los aspectos principales para evitar este tipo de deformidades es tener un cuidado y control de los pies, por parte de profesionales, a partir de una edad temprana. Una vez aparecida dicha patología, los procesos de tratamiento son de larga duración y, en algunos casos, de alta intensidad.
En primer lugar, un experto deberá valorar la gravedad de la patología. Dependiendo de ello, se optará por un tratamiento calificado como terapia conservadora, la cual será mediante soportes plantares, o por un tratamiento quirúrgico, con el objetivo de corregir la deformidad.
Según los expertos de Clínica Grimalt Llinàs, los tratamientos deben ser personalizados dependiendo la gravedad y, además, valorar cuál es la causa principal de la aparición de la patología. Los profesionales destacan que tanto los pies cavos, las contracturas en los flexores de los dedos del pie, la hiperqueratosis en la planta del primer metatarsiano o la atrofia del extensor del dedo gordo del pie, suelen ser las principales causas de la aparición del Hallux Flexus.
Sobre Biomotion Lab, la red de franquicias podológicas más potente de EspañaBiomotion Lab es una franquicia dedicada a la elaboración de plantillas personalizadas para la realización de múltiples deportes. Biomotion Lab representa el futuro de las plantillas deportivas basadas en un Sistema de Exploración Biomecánico Único creado con las más Avanzadas Tecnologías. Biomotion Lab está en plena expansión en el mercado español y ofrece tecnología y personalización al servicio de la funcionalidad.
Fuente Comunicae


