Cristina Galindo ha sido nombrada Team Leader del equipo de Selección de Personal de Perfiles de Ventas Digitales y de Software por su gran conocimiento de estos perfiles e importante liderazgo.
El certamen tendrá tres categorías de trabajo, una para estudiantes del grado y otras dos que premiaran a los profesionales del sector al mejor proyecto de obra nueva y la mejor rehabilitación energética.
Mtech Group ha apostado por Schneider Electric para su nueva sede en Madrid, en Pinto, creando un edificio digital, sostenible y escalable, dotado de un sistema de gestión energética en sus instalaciones que permite la aislabilidad, la autogestión y el control óptimo de sus recursos energéticos.
The Forge es el primer edificio comercial del Reino Unido diseñado en línea con el marco de carbono cero neto del Green Building Council del Reino Unido, tanto en su construcción como en sus operaciones.
La nueva colección de la marca urbana de zapatillas está formada por 5 familias: WP150, la Med, Classic, Rub y Combat.
Rafa Soler, chef de Audrey’s Restaurant (Calpe) ofrecerá el próximo 18 de octubre servicio de comida y cena en el restaurante del Hotel Palacio Vallier (5*) con un menú degustación elaborado con productos de temporada.
Schneider Electric, líder mundial en la transformación digital de la gestión de la energía y la automatización, ha sido reconocida en los premios Developed Europe Executive Team Awards 2022 de Institutional Investor como la empresa más galardonada de Europa con 7 primeros puestos en diferentes categorías y la mejor empresa en relaciones con los inversores en el sector industrial (que abarca el sector aeroespacial y de defensa, bienes de equipo, transporte y servicios empresariales).
Felipe Blanco, Director General de OROEL, empresa que lidera el proyecto co-financiado por el Gobierno de Aragón, ha destacado los avances en investigación que se están realizando en el proyecto de ecodiseño hasta el momento.
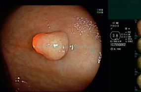
FUJIFILM Europe GmbH ha lanzado el nuevo software EW10-VM01 para la función de escala virtual en tiempo real SCALE EYE¹ ("SCALE EYE"), diseñado para ayudar a los endoscopistas a estimar el tamaño de las lesiones en el colon.
La institución educativa lidera un plan de innovación tecnológica con una inversión de 2’5 millones de euros en IA.
La protagonista, antes Mari Pili y ahora Angelinajolí, cree vivir una relación con la actriz que admira, pero todo es un engaño fruto de la digitalización de su vida.
La logística "por dentro" y los pagos instantáneos en eCommerce serán los grandes temas de la 2a Edición de The Partners Club.
Al evento de Depau Sistemas asistieron más de 500 profesionales y 34 fabricantes que compartieron un espectacular fin de semana a orillas del Mar Menor aunando trabajo y ocio.
Ya son 600 las personas apuntadas para viajar en una cápsula y disfrutar de la experiencia única de contemplar la curvatura de la Tierra en un transporte espacial de emisiones de carbono cero.
Clínicas Doctor Life cuenta con años de experiencia en rejuvenecimiento hormonal, medicina y cirugía estética así como en tratamientos especializados en obesidad y el sobrepeso.
El bróker online destaca que ha aumentado el interés de estos profesionales por los mercados financieros.
El convenio, de carácter voluntario, busca evitar el uso de domicilios ficticios por parte de sociedades para obtener el NIF de forma fraudulenta y facilitará la depuración de entidades inactivas del censo.
Neolith fue patrocinador del gran festival gastronómico celebrado en Dénia, vistiendo el escenario principal con una completa cocina del modelo Himalaya Crystal, donde se dieron cita consagrados chefs, como el tres estrellas Michelin Quique Dacosta, junto a jóvenes promesas de la cocina y otros profesionales de la gastronomía.
La enseña acaba de abrir una nueva delegación en Cádiz posicionándose en la región de Andalucía con una red de 9 franquicias.
El último estudio de Unidema Research analiza la inflación según el nivel de renta.












